Wisdom Tooth Removal, Wisdom Teeth Extraction, Oral Surgery, Wisdom Tooth Extraction, Best Oral Surgeon, Wisdom Tooth Surgery, Wisdom Tooth Dentist, Wisdom Teeth Clinic, Oral Surgeon Clinic, Wisdom Tooth Care, Wisdom Tooth Hospital, Dental Wisdom Tooth Removal, Wisdom Tooth Clinic, Wisdom Tooth Dentistry, Wisdom Tooth Specialist, Wisdom Tooth Extraction Clinic, Pune Wisdom Tooth Surgery
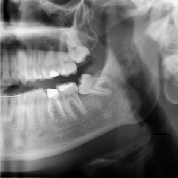
Wisdom tooth is the last tooth to grow in an individual’s mouth. Whenever a wisdom tooth does not have sufficient space to grow, it becomes infected. Also called an impacted wisdom tooth, the problem is a very painful one.
Usually, the only treatment to an impacted wisdom tooth is extraction. For all those who live in Pune and wish to find the right place for wisdom tooth extraction, coming to Smile-Inn Dental Clinic might be the best choice. Let us discover why.
For all those living in Kothrud, we have compiled a list of the finest places from where you can get teeth whitening in Pune.
Have your dentist check your wisdom teeth if you're 16 to 19 years old.
You may never have any problems with your wisdom teeth, especially if you're already older than 30.
Your dentist may recommend that you have your wisdom teeth removed if they cause pain or an infection, crowd other teeth, or get stuck (impacted) and can't break through your gums.
What Are My Whitening Options?
If your impacted wisdom tooth has been a menace for you, going for a wisdom tooth extraction in Kothrud is probably the only option. If you come to Smile-Inn Dental Clinic for this purpose, you will find the following facilities:
Once you visit Smile-Inn Dental Clinic, you would understand why this is the right place for you to visit for impacted wisdom tooth extraction.

Are you not sure if your wisdom tooth needs to be extracted? Look for the below given symptoms before you go for a wisdom tooth extraction Kothrud.
If you notice a number of these problems then think about getting a wisdom tooth extraction. In case you only have one or two of these symptoms, you may not need a wisdom tooth extraction but there might be some other problem.

Prosthodontist & Implantologist

Esthetic Dentist
Before getting your wisdom tooth extracted in Pune, you can develop some complications. At Smile-Inn Dental Clinic, the expert dentists do their best to treat such complications but these can endure if you get your wisdom tooth extracted from a clinic that does not explicitly consider them. Some possible complications are:
Coming to Smile-Inn for wisdom tooth extraction, will also facilitate treatment for any complications.
To get your wisdom tooth extraction in Pune, the process followed by the dental expert depends on the severity of the condition. Let us see how it happens:
Whether the extraction is easy or not, the result of your wisdom tooth extraction will likely be a good one.
Don’t dwell it pain anymore, get your extraction done today!
Wisdom teeth are your third molars located in the back of your mouth. They usually are the last to develop.
Most people get their wisdom teeth in their late teens or early twenties, but it is also possible to develop wisdom teeth as a pre-teen or as an older adult.
Some symptoms of wisdom teeth are pain in the jaw, tenderness, swelling around the gums, discharge if an abscess or infection is present, or you can see it poking through the gum behind your second molar. Some people, however, don’t have any visible or noticeable symptoms of wisdom teeth pain.
If they are impacted and or cause crowding in your teeth, it is recommended that they be removed to avoid damaging the surrounding teeth. If they grow in correctly positioned, healthy and function properly, it is not necessary to have them removed.